Dental Implants
What Are Dental Implants?
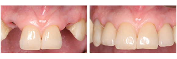
A dental implant consists of a titanium root that is fitted into a socket that we create in your jaw to replace the loss of your natural tooth. A support tooth will be placed into the implant and a new crown is placed on top of it.
Implants are frequently an excellent option to replace a tooth or multiple teeth that were lost due to a variety of reasons. Dental implants are made of titanium and take advantage of a biological phenomenon called Osseo integration. Osseo integration allows bone to heal up against the titanium implant surface and anchor the dental implant firmly into the bone allowing a crown(cap) to be placed on top of the implant thereby replacing the lost or missing tooth.
DENTAL IMPLANTS ARE GOOD FOR PEOPLE WHO:
Have lost a tooth or teeth due to injury
Have lost a tooth or teeth due to periodontal disease
Through natural wear and tear have lost a tooth or teeth
DENTAL IMPLANTS CAN:
Replace one or more teeth without affecting bordering teeth.
Support a bridge and eliminate the need for a removable partial denture.
Provide support for a denture, making it more secure and comfortable.
Dental Implants are incredibly natural looking and comfortable. They are secure so you can speak and eat with confidence. Dental Implants are an excellent option for tooth replacement.
WHAT ARE THE COSTS OF DENTAL IMPLANTS?
Contact us today for a consultation and we’ll discuss your options regarding dental implants.
HOW DO I GET STARTED?
DR Gabriel Wassouf will be happy to discuss this procedure with you and answer your questions. Please feel free to call for your private consultation.

